Skip to content Skip to sidebar Skip to footer

Braune Flecken Auf Den Zähnen Bei Kindern

Braune Flecken Auf Den Zahnen Heilpraxis

Braune Flecken Auf Den Zahnen Heilpraxis

Braune flecken auf den zähnen bei kindern. Zahnschmelzdefekte einschließlich brauner Flecken auf den Zähnen werden manchmal durch Zöliakie verursacht. Eine mögliche Nebenwirkung sind braune Flecken auf den Zähnen. Schon kleine Kinder haben braune Zähne.

Andernfalls kann das Metall in Füllungen seine Farbe mit der Zeit auf den Zahn übertragen. Zahnschmelzdefekte einschließlich brauner Flecken auf den Zähnen werden manchmal durch Zöliakie verursacht. Dies ist bei kleinen Kindern üblich.

Baabe wetter 14 tage baby baby amy grant b1 b6 b12 vitamins axel milberg erste ehefrau avocado thunfisch salat low carb baby 7 monate spiele avocado gefüllt mit ei avocado salat mit ei. Darum findet man sie auf der Unterseite der Zähne und sie sind sehr häufig bei Kindern oder Jugendlichen die keine korrekte Zahnhygiene haben. Dunkle Flecken auf Kinderzähnen müssen kein Zeichen für Plaque oder Karies sein.

Oft handelt es um einen harmlosen Belag. Wenn auch eher selten kann der selbe Effekt entwicklungsbedingt auch. Andere Medikamente im Zusammenhang mit braunen Flecken auf den Zähnen sind.

Verfärbte Zähne bei Kindern können aber auch auf störende Einflüsse während der Zahnentwicklung hindeuten. Zeigen Kinderzähne dunkle Flecken so muss dies nicht immer Karies sein. Allerdings gibt es einige Farbveränderungen die altersspezifisch sind.

Zahnverfärbungen bei Kindern. Aber statt weiß und gesund sind einzelne Zähne fleckig und porös. Wenn du die Zähne nicht putzt können sich Bakterien auf den Zähnen und dem Zahnfleisch festsetzen.

Es entstehen gelb- braune bis gräuliche Verfärbungen oftmals streifenförmig bei Kindern unter dem 8. Es kann nach einem Trauma in der Region oder wenn ein Zahn bricht auftreten.

Braune Flecken Auf Den Zahnen Ursachen Behandlung Hilfe Medlexi De

Braune Flecken Auf Den Zahnen Ursachen Behandlung Hilfe Medlexi De

Fluoroseflecken Auf Den Zahnen Behandeln Dentalmagazin De

Fluoroseflecken Auf Den Zahnen Behandeln Dentalmagazin De

Braune Flecken Auf Den Zahnen 3 Ursachen Und Die Beste Losung

Braune Flecken Auf Den Zahnen 3 Ursachen Und Die Beste Losung

Braune Flecken Auf Den Zahnen Ursachen Behandlung Vorbeugung Gesundpedia De

Braune Flecken Auf Den Zahnen Ursachen Behandlung Vorbeugung Gesundpedia De

Kreidezahne Zahnarzte Warnen Vor Neuer Volkskrankheit Mih Der Spiegel

Kreidezahne Zahnarzte Warnen Vor Neuer Volkskrankheit Mih Der Spiegel

Fluoroseflecken Auf Den Zahnen Behandeln Dentalmagazin De

Fluoroseflecken Auf Den Zahnen Behandeln Dentalmagazin De

Mysteriose Krankheit Wenn Kinderzahne Plotzlich Brockeln N Tv De

Mysteriose Krankheit Wenn Kinderzahne Plotzlich Brockeln N Tv De

Fluoroseflecken Auf Den Zahnen Behandeln Dentalmagazin De

Fluoroseflecken Auf Den Zahnen Behandeln Dentalmagazin De

Ekelhafte Braune Flecken Auf Den Zahnen Und Eine Liste Von 6 Ursachen

Ekelhafte Braune Flecken Auf Den Zahnen Und Eine Liste Von 6 Ursachen

Kinderbehandlung Die Behandlung Von Kindern Mit Mih Zahnen Molar Incisor Hypomineralisation

Kinderbehandlung Die Behandlung Von Kindern Mit Mih Zahnen Molar Incisor Hypomineralisation

Wie Man Braune Flecken Von Der Ruckseite Der Zahne Entfernt August 2021

Wie Man Braune Flecken Von Der Ruckseite Der Zahne Entfernt August 2021

Karies Und Ihre Ursachen Blog Zahnputzladen

Karies Und Ihre Ursachen Blog Zahnputzladen

Strukturstorungen Der Zahnhartsubstanz Im Kindesalter Fachgebiete Zmk Aktuell De

Strukturstorungen Der Zahnhartsubstanz Im Kindesalter Fachgebiete Zmk Aktuell De

Braune Flecken Auf Den Zahnen Heilpraxis

Braune Flecken Auf Den Zahnen Heilpraxis

Zahne Was Verfarbungen Und Flecken Uber Ihre Gesundheit Aussagen Focus Online

Zahne Was Verfarbungen Und Flecken Uber Ihre Gesundheit Aussagen Focus Online

Kreidezahne Bei Kindern Antibiotika Und Weichmacher Konnten Mitverantwortlich Sein Oko Test

Kreidezahne Bei Kindern Antibiotika Und Weichmacher Konnten Mitverantwortlich Sein Oko Test

Zahnkrankheiten Bei Kindern Mama Mein Mund Tut Weh Stern De

Zahnkrankheiten Bei Kindern Mama Mein Mund Tut Weh Stern De

Kreidezahne Zahnarzte Warnen Vor Neuer Volkskrankheit Mih Der Spiegel

Kreidezahne Zahnarzte Warnen Vor Neuer Volkskrankheit Mih Der Spiegel

Kreidezahne Die Neue Volkskrankheit Unter Kindern Und Jugendlichen

Kreidezahne Die Neue Volkskrankheit Unter Kindern Und Jugendlichen

Was Ist Mit Meinen Drei Zahnen Los Angst Zahne Zahnarzt

Was Ist Mit Meinen Drei Zahnen Los Angst Zahne Zahnarzt

Fluorosen Vermeidung Der Weissen Flecken Auf Den Zahnen

Fluorosen Vermeidung Der Weissen Flecken Auf Den Zahnen

Kinderbehandlung Die Behandlung Von Kindern Mit Mih Zahnen Molar Incisor Hypomineralisation

Kinderbehandlung Die Behandlung Von Kindern Mit Mih Zahnen Molar Incisor Hypomineralisation

Weisse Flecken Auf Kinderzahnen Initiative Prodente E V

Weisse Flecken Auf Kinderzahnen Initiative Prodente E V

1

1

Mih Ursachen Der Mineralisationsstorung Bei Kindern Unbekannt Dentalmagazin De

Mih Ursachen Der Mineralisationsstorung Bei Kindern Unbekannt Dentalmagazin De

Schwarze Zahne Konnen Schmerzfrei Behandelt Werden

Schwarze Zahne Konnen Schmerzfrei Behandelt Werden

Zahnfluorose Wikipedia

Zahnfluorose Wikipedia

Mih Behandlung Und Therapie Der Kreidezahne Dental Team Online

Mih Behandlung Und Therapie Der Kreidezahne Dental Team Online

Zahnheilkunde Wenn Die Zahne Brockeln Universitatsklinikum Freiburg

Zahnheilkunde Wenn Die Zahne Brockeln Universitatsklinikum Freiburg

Thema Karies Magic Dental

Thema Karies Magic Dental

Kreidezahne Zahnarzte Warnen Vor Neuer Volkskrankheit Mih Der Spiegel

Kreidezahne Zahnarzte Warnen Vor Neuer Volkskrankheit Mih Der Spiegel

Weisse Flecken Auf Den Zahnen Beseitigen Mein Medizinportal

Weisse Flecken Auf Den Zahnen Beseitigen Mein Medizinportal

Fluoroseflecken Auf Den Zahnen Behandeln Dentalmagazin De

Fluoroseflecken Auf Den Zahnen Behandeln Dentalmagazin De

Flecken Auf Zahnen Ich Bin Mutter

Flecken Auf Zahnen Ich Bin Mutter

Was Sind Das Fur Flecken Auf Den Zahnen Gesundheit Und Medizin Zahne

Was Sind Das Fur Flecken Auf Den Zahnen Gesundheit Und Medizin Zahne

Strukturstorungen Der Zahnhartsubstanz Im Kindesalter Fachgebiete Zmk Aktuell De

Strukturstorungen Der Zahnhartsubstanz Im Kindesalter Fachgebiete Zmk Aktuell De

Karies Bei Kleinkindern Zahne Alles In Ordnung Medizinisches Kind Swissmom Ch

Karies Bei Kleinkindern Zahne Alles In Ordnung Medizinisches Kind Swissmom Ch

Mih Neue Erkenntnisse Aus Der Kinderzahnheilkunde

Mih Neue Erkenntnisse Aus Der Kinderzahnheilkunde

Zahnverfarbung Verfarbte Zahne Ursachen Und Therapie

Zahnverfarbung Verfarbte Zahne Ursachen Und Therapie

Zahnaerzte Hh Fissurenversiegelung

Zahnaerzte Hh Fissurenversiegelung

Zahnfluorose Wikipedia

Zahnfluorose Wikipedia

Schmelzfehlbildungen Ursachen Und Therapieoptionen Quintessenz Verlags Gmbh

Schmelzfehlbildungen Ursachen Und Therapieoptionen Quintessenz Verlags Gmbh

Kinder Zahnarztin Dr Med Dent Kamila Iwanski Zahnarzt Team Luzern

Kinder Zahnarztin Dr Med Dent Kamila Iwanski Zahnarzt Team Luzern

Karies Vermeiden Initiative Prodente E V

Karies Vermeiden Initiative Prodente E V

Die Problematik Der Molaren Inzisiven Hypomineralisation Zm Online

Die Problematik Der Molaren Inzisiven Hypomineralisation Zm Online

Mundkrankheiten Diese Bilder Helfen Beim Erkennen

Mundkrankheiten Diese Bilder Helfen Beim Erkennen

Zahnverfarbungen Das Hilft Wirklich

Zahnverfarbungen Das Hilft Wirklich

Karies Entdecken Zahne Retten So Minimieren Sie Das Risiko Gelencser Dental Magazin

Karies Entdecken Zahne Retten So Minimieren Sie Das Risiko Gelencser Dental Magazin

Https Encrypted Tbn0 Gstatic Com Images Q Tbn And9gcttzzgras4vbt Os9ndtatmkbqaqmn 6tk76jfx57i6ajflvxb Usqp Cau

Https Encrypted Tbn0 Gstatic Com Images Q Tbn And9gcttzzgras4vbt Os9ndtatmkbqaqmn 6tk76jfx57i6ajflvxb Usqp Cau

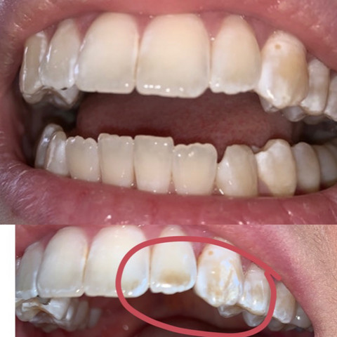
Als Erstes fallen meist ungewöhnliche Flecken auf den Frontschneidezähnen oder gelblich-bräunliche Verfärbungen auf den Backenzahnoberflächen auf.

Braune Flecken auf den Zähnen sind bei Menschen mit dieser Erkrankung häufig insbesondere bei Kindern. Zahnärzte sehen es mit Sorge. Kreidezahne Zahnarzte Warnen Vor Neuer Volkskrankheit Mih Der Spiegel. Der Grad der Verfärbung. Wenn du die Zähne nicht putzt können sich Bakterien auf den Zähnen und dem Zahnfleisch festsetzen. Die girlandenförmigen Flecken eine sogenannte Melanodontie können Zahnärzte mit einem Pulverstrahlverfahren entfernen. Egal ob braune schwarze oder gelbe Zähne eine Zahnverfärbung ist meistens harmlos und lässt sich einfach entfernen. Dies ist bei kleinen Kindern üblich. Einige Medikamente verursachen Zahnverfärbungen insbesondere das Antibiotikum Tetracyclin und seine Verwandten.


Weißliche oder gelbe Flecken auf den Zähnen können Zeichen von. Braune Flecken auf den Zähnen sind bei Menschen mit dieser Erkrankung häufig insbesondere bei Kindern. Zahnärzte sehen es mit Sorge. Hohes Fieber und Zahntraumata können ebenfalls braune Flecken auf den Zähnen verursachen. Oft handelt es um einen harmlosen Belag. Fleckige und bröckelnde Zähne bei Kindern. Baabe wetter 14 tage baby baby amy grant b1 b6 b12 vitamins axel milberg erste ehefrau avocado thunfisch salat low carb baby 7 monate spiele avocado gefüllt mit ei avocado salat mit ei.

Post a Comment for "Braune Flecken Auf Den Zähnen Bei Kindern"